株式会社ニコンソリューションズ|Japan
前眼部画像解析装置
前眼部画像解析装置
OCULUS社製
Pentacam® Cornea OCTでは、角膜上皮細胞をはじめ、デスメ膜や角膜内皮細胞も抽出が可能です
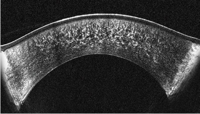
Pentacam® Cornea OCT は、独自のペリセントリックスキャン技術を搭載したスペクトラルドメインOCT方式を採用し、角膜構造の描出において、縦方向分解能1.9μmの画像を提供します。一方Swept Source OCTは、深部まで検査可能ですが、分解能は約10μm前後と性能に差があります。
「Scheimpflug画像 + 正常眼データ + 角膜OCT画像」の組み合わせで、最適な診断をサポートします
Corneal Zoomモードは一枚の画像に角膜全体を包括的に描出します。
Real shapeモードでは、角膜の実際の形状に基づいて、Bスキャン画像を再現します。角膜の各層における変化を視覚的に捉えることが可能となり、同一断面においてBスキャン画像とScheimpflug画像を直接比較することができます。Scheimpflug画像は光を散乱する構造を描出する一方で、OCT画像はそれらの構造を描出します。
アベレージングモードは、複数の画像を統合することでより鮮明な画像を生成します。
上皮厚マッピングは、レーザーによる視力矯正術を行う前の角膜拡張症リスク評価をサポートします。
特に、初期の円錐角膜とコンタクトレンズ装用による角膜形状変化の識別に役立ちます。
上皮のリモデリングなどのレーザー視力矯正術(LVC)後の変化を評価するために重要な、角膜上皮の厚さを精密に測定することが可能になります。
特に角膜の生体力学的特性と組み合わせると有力な手段となり角膜拡張症のリスク全体に関する包括的な洞察を可能にします。
仕様およびデザインは改良のため予告なく変更する場合があります
商品写真並びにデータ画像は実際の色と異なる場合があります
お電話でのお問い合わせ
0120-035-390
受付時間 9:00~17:45 (土日祝日・年末年始など当社休業日を除く)
